31주년 부평성모안과

본문 바로가기
사이트 내 전체검색

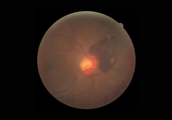
DIABETIC RETINOPATHY

당뇨망막병증

시야가 뿌옇게 흐려지는 시력저하

출혈로 검은 그림자가 보이는 증상

당뇨망막병증

당뇨병을 앓은 지 오래되면 지속적인 고혈당에 의해 망막혈관의 미세 순환장애가 생깁니다.
이로인해 망막의 혈관이 막히거나 터지는 경우에 망막에 출혈이 생기고, 망막이 붓고, 구겨지는 나쁜 변화가
나타나게 되는데 이는 심각한 시력장애를 초래하게 됩니다.

당뇨망막병증
원인

당뇨병으로 인해 망막에 혈액을 공급하는 말초혈관에 순환장애가 일어나 발생합니다.

당뇨망막병증
증상

초기 당뇨망막병증의 경우에는 증상이 없는 경우도 있지만, 비문증, 광시증, 변시증, 시야 흐림,
야간 시력 저하, 독서 장애 등이 나타날 수 있습니다.

DIABETIC RETINOPATHY TYPE

당뇨망막병증 종류

당뇨망막병증은 신생혈관의 발생 유무에 따라 비증식성과 증식성의 두가지 단계로 구분할 수 있습니다.

  • 비증식성 당뇨망막병증

    당뇨망막병증 환자의 80%가 해당하는 것으로, 망막혈관에서 출혈과 부종이 나타납니다.
    만일 그대로 방치할 경우 증식성 당뇨망막병증으로 발전할 수 있습니다.

  • 증식성 당뇨망막병증

    망막혈관을 보호하기 위해 주변에 비정상적인 신생 혈관들이
    나타나서 증식하게 됩니다. 이 혈관들이 출혈을 일으키고
    또 그 위로 보호막이 자라나면서 유리체 수축, 망막박리 등 합병증으로
    만들어 시력을 저하시킵니다.

DIABETIC RETINOPATHY

당뇨망막병증 진단

조기 발견과 치료가 당뇨망막병증으로 인한 실명을 예방하는 가장 좋은 방법입니다.
뚜렷한 증세가 없고 시력저하도 심하지 않은 경우에도 당뇨망막병증이 있을 수 있기 때문에 당뇨병을 앓고 있으면 반드시 정기 검진을 받아야 합니다.
본원의 당뇨망막증 진단은 안저검사와 함께 망막의 주변부 혈관 변화까지 정밀하게 진단합니다.

DIABETIC RETINOPATHY LIVING RULES

당뇨망막병증 환자의 생활수칙

  • 철저한 혈당관리
    공복시 혈당 당화혈색소

  • 고지혈증 예방

  • 혈압조절

  • 체중관리

  • 식이요법

  • 금연

DIABETIC RETINOPATHY TREATMENT METHOD

당뇨망막병증 치료방법

당뇨망막병증의 첫 번째 치료는 혈당 조절로 당뇨망막증에 영향을 미치는 혈압, 신장질환, 고지혈증 치료가 중요합니다.

범망막 광응고술

형광안저혈관촬영을 시행하여 신생혈관과 혈관이 손상되어 발생하는
비관류부위를 확인한 후에 대개 2주 ~ 3주 간격으로 한쪽 눈에
3-4회 정도 시행하게 됩니다.

황반부종에 대한 국소레이저 치료

레이저 광응고술은 혈관이나 혈액순환 장애가 있는 부위에
레이저를 쏘아 흉터를 만듭니다. 이로 인해 혈관 증식을 감소시키고,
망막을 보다 단단하게 하여 시력 손상을 방지합니다.

안내 주사치료

망막허혈로 인하여 망막조직에서 혈관내피성장인자가 분비되어 황반부종을
유발하므로 항혈관내피성장인자 유리체강내 주사, 스테로이드 유리체강내
또는 테논낭하 주사를 시행할 수 있습니다.
주사치료는 항혈관내피성장인자는 아바스틴, 루센티스, 아일리아를 사용하고 있습니다.

유리체절제술

유리체절제술은 유리체 출혈이 아주 심해 시력장애가 심할 경우
나타나게 됩니다. 이 수술은 작은 가위와 흡입기를 눈 속에 넣어서
유리체와 출혈, 섬유막 등을 제거하는 방법입니다.


인천광역시 부평구 경원대로 1373 북인천우체국 4층 (부평역 지하상가 16번 출구)

전화상담

032. 528. 7288

카톡상담

진료시간

월~금

09:30 ~ 18:00

토요일

09:30 ~ 14:00(점심시간 없음)

점심시간

13:00 ~ 14:00

빠른 상담 신청

[전문보기]

의료기관명칭 : 부평성모안과의원 | 사업자등록번호 : 351-92-00131 | 대표자명 : 배계종 | 대표전화: 032. 528. 7288 | FAX: 032. 528. 7286
(우)21389 인천광역시 부평구 경원대로 1373 (부평동, 북인천우체국 4층)

COPYRIGHT © 2022 BUPYUNG ST.MARY’S EYE CLINIC. All RIGHTS RESERVED.

예약 상담

온라인 예약

예약확인
  • 정확한 검사를 위해 내원일 포함 렌즈 미착용 기간 필요 - 소프트렌즈 7일 - 하드렌즈(RGP) 14일 - 난시용 소프트렌즈 14일 - 드림렌즈 1개월
  • 검사 당일 약물 검사로 인해 근거리 시력이 불편해지며 눈이 부시기 때문에 자가운전이 불가합니다.
  • 검사는 2~3시간정도 소요됩니다.

※일요일 및 공휴일은 휴진입니다.
※상담원과의 통화 후 예약이 확정됩니다.

2012년 8월 18일부터 개정된 정보통신망법 23조 2항 “주민등록번호 사용제한”에 의해 주민등록번호를 저장 및 조회하지 않습니다.

온라인 예약 확인

온라인 예약

2012년 8월 18일부터 개정된 정보통신망법 23조 2항 “주민등록번호 사용제한”에 의해 주민등록번호를 저장 및 조회하지 않습니다.

온라인 예약 확인

  • 진료항목 수술전 검사
  • 예약날짜 2019-08-21 오전
  • 이름 홍길동
  • 희망 의료진 Dr. 안경호
  • 휴대폰 번호 010-9876-6543

상담원과의 통화 후 온라인예약이 확정됩니다. 예약 수정 및 취소는 032)528.7288로 전화주세요.

비용 상담 신청

카카오톡 상담 신청

  • 직접 상담 문의 원하시는 분은 카카오톡 아이디 검색에서 “부평성모안과”를 검색하세요.
닫기

오시는길 안내

다음에 할께요 문자보내기
닫기